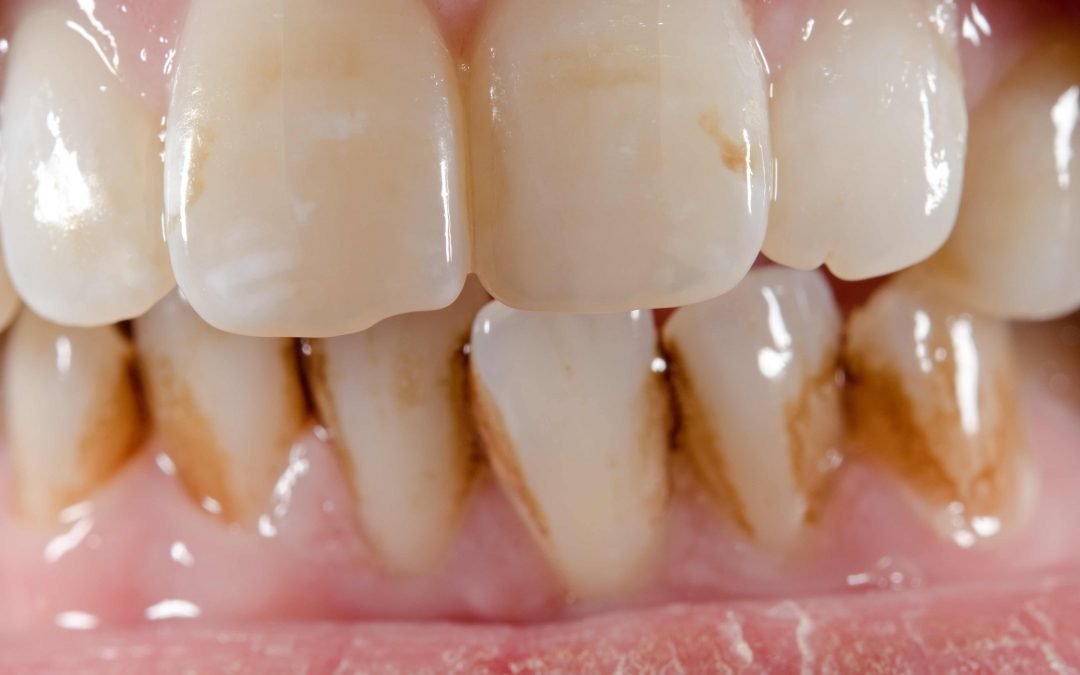
Muchos estudios y estadísticas demuestran que la mitad de los españoles sufre, o sufrirá, algún tipo de enfermedad de las encías durante toda su vida. Esto se debe a que muchas personas desconocen que, a parte de tener unos dientes fuertes y sanos, una buena salud bucodental se centra en tener unas encías sanas. Este último punto suele descuidarse habitualmente, y es por eso que hoy venimos a explicarte qué factores hacen que tus encías se debiliten, provocando ciertas enfermedades. También te decimos cómo evitarlo que puedas tener unos dientes y encías saludables.
¿Cómo mejorar la salud dental de tu bebé?
En muchas ocasiones, descuidamos la salud dental de los bebés ya que creemos que al ser tan pequeños no es necesaria tenerla en cuenta. Debemos saber que durante la primera etapa de vida, los hábitos de higiene bucal de los más pequeños pueden marcar la salud de sus dientes en un futuro, evitando ciertas infecciones o enfermedades si estos son satisfactorios.
Hábitos recomendados
1. Espera a que salgan los primeros dientes
Hasta que no salgan los primeros dientes, alrededor de los seis meses de edad, las técnicas como el cepillado, el hilo dental o los enjuagues bucales no deben ser empleadas, pero sí que se les debe aplicar unos cuidados especiales para minimizar su exposición a ciertos factores de riesgo, como por ejemplo aplicar en sus dientes y encías una gasa húmeda.2. Introduce poco a poco el flúor
Todo el mundo conoce las saludables propiedades del flúor para fortalecer los dientes, pero lo que no sabe la mayoría de personas es que estos beneficios también se pueden conseguir incluso antes de que aparezcan los primeros dientes. Es por eso que podemos fortalecer el esmalte de las futuras piezas dentales dando la cantidad adecuada de flúor a nuestro bebé. Hay varias maneras de administrar flúor a los recién nacidos, que van desde el agua fluorada, la sal o algunos comprimidos con flúor. Así que lo mejor será consultar con el dentista o con el pediatra para determinar la mejor solución.3. Evita la caries del biberón
La caries del biberón es el mayor riesgo dental al que están expuestos los bebés. Se debe a una exposición habitual y extensa de los dientes temporales a líquidos que contienen azúcar. Esto significa que la leche, sus sustitutivos o los zumos de frutas pueden provocarla. Suele suceder cuando los bebés se quedan dormidos con el biberón en la boca y exponen sus dientes a los líquidos azucarados que actúan negativamente en la dentina. Es por este motivo que se debe evitar que el bebé se duerma con el biberón en la boca o, si lo hace, que sea con un biberón con agua. En caso de amamantar todavía al bebé, pregúntale al pediatra o dentista cuál es la mejor manera de prevenir la caries del biberón. Además, también será necesario limpiar los dientes y encías del bebé después de cada comida con una toallita húmeda para eliminar los azúcares4. Vigila con ciertos medicamentos
Hay ciertos medicamentos, como algunos antibióticos que contienen tetraciclina, que pueden pigmentar los dientes del bebé si son tomados por la madre durante la segunda parte del embarazo o la lactancia del niño. Debes de tenerlo muy en cuenta para evitar posibles problemas en la boca de tu bebé. Si tienes dudas sobre la salud dental de tu hijo o hija recién nacido, contacta con nosotros para recibir más información. Nos encontrarás en Jaume Casanovas 45, el Prat de Llobregat.Efectos del café en los dientes
¿Sabías que el 70% de los españoles toma café a diario? ¿Y qué la media de consumo es de 3,6 tazas al día? Según los datos de estudio, probablemente ,tu lectora/a, también seas una de las personas que forman parte de este tanto por ciento que consume café a diario. Y si es así, posiblemente te interesará estar informado sobre cómo afecta el café a los dientes, ya que la preocupación por la estética dental cada vez es mayor.
¿Cómo afecta el café a los dientes?
Como ya sabemos, el motivo es totalmente estético. El café mancha los dientes y los vuelve oscuros. Un consumo habitual y excesivo de esta bebida afecta directamente al esmalte.
Varios estudios han demostrado que si mantienes una buena higiene dental, el café no afecta más allá de lo estético. No es una sustancia abrasiva que afecte nuestra dentadura o boca. Por lo tanto, no provoca ninguna enfermedad dental como caries, gingivitis o halitosis. Siempre y cuando, se consuma de la mano de una correcta higiene dental, tal y como hemos dicho antes.
Por eso las manchas en los dientes por café son bastante comunes así como también la forma de eliminarlas en nuestra clínica dental.
¿Cómo prevenir las manchas de café?
Como siempre, existen una serie de tips para prevenir las consecuencias de consumir café. Estos son los consejos que te servirán para evitar la aparición de manchas dentales:
- Tener una buena higiene dental. Cepíllate los dientes 3 veces al día y compleméntalo con hilo dental y colutorio.
- Cepíllate los dientes lo antes que puedas después de la ingesta. Mientras más rápido lo hagas, menos capacidad tendrá de oscurecer tus dientes.
- Procura no tomarlo caliente. Mientras más caliente esté más capacidad tiene de penetrar en él esmalte dental.
- Bebe agua después de beber café. Ya que este produce sequedad bucal que provoca mal aliento.
- Evita tomarlo corto. Tomar el café con leche o tomarlo más claro reduce los efectos sobre el esmalte.
- Intenta tomarlo con pajita para que tenga menos contacto con las piezas dentales.
¿Qué tratamientos existen para quitar las manchas de café?
En principio, con realizar una buena higiene bucodental basta para eliminar las manchas. Pero en caso de que las manchas permanezcan, los tratamientos para eliminar este tipo de manchas son el blanqueamiento dental y las carillas dentales.
Esperamos haber solucionado todas tus dudas. En el caso de no ser así, no dudes en contactar con nosotros. ¡Estaremos encantados de ayudarte!Puedes encontrarnos en la calle Jaume Casanovas 45, El Prat de Llobregat.
¿Conoces la importancia de la saliva?
En el artículo de hoy hablaremos sobre la importancia de las glándulas salivales y de la saliva para el buen funcionamiento de nuestra boca y el mantenimiento de la salud bucal. Cuáles son las posibles patologías que podemos desarrollar en caso de carecer de ella.
¿Qué es la saliva?
La saliva es un fluido líquido y viscoso que es producido por las glándulas salivales en la cavidad bucal. Sus funciones son las siguientes:
- Iniciar el proceso de digestión de los alimentos mediante su humedecimiento.
- Ayuda a la masticación y deglución.
- Controla el PH de la cavidad oral, es decir, tiene un efecto tampón.
- Función antibacteriana y antifúngica.
- Ayuda a la cicatrización de los tejidos orales.
- Tiene una función antiinflamatoria.
Efectos de no producir suficiente saliva
Xerostomía
La xerostomía es la sensación de boca seca o sequedad bucal. Se produce por una disminución de saliva derivada de una alteración en las glándulas salivales. Este trastorno produce dificultad para hablar correctamente, para masticar y deglutir y sensación de ardor de boca. Las causas de la xerostomía pueden ser varias:
- Diabetes
- Estrés, ansiedad, depresión,…
- Medicación (antiparkinsonianos, antiestamínicos,…)
- La pérdida de piezas dentales (provoca una menor estimulación en la boca y una disminución en la producción de saliva)
- El consumo de tabaco y alcohol.
- Una alimentación desequilibrada rica en hidratos de carbono y déficit de vitaminas (frutas y verduras).
Caries Caries es el término comúnmente utilizado para designar la erosión del esmalte. La caries en el esmalte dental está causada por determinados tipos de bacterias productoras de ácido que atacan el esmalte de la superficie dental. Una caries no tratada destruye el interior del diente y ataca el nervio provocando dolor. Una disminución en la producción de saliva favorece la aparición de caries dental debido que la saliva tiene una función de limpieza.Si la saliva no arrastra los restos de comida, hay una proliferación bacteriana mayor que afecta a los dientes.
Si quieres que conozcamos tu caso y te asesoraremos sobre cuál es la mejor opción para tu hijo/a, no dudes en contactar con nosotros. ¡Estaremos encantados de ayudarte!Puedes encontrarnos en la calle Jaume Casanovas 45, El Prat de Llobregat
Cirugía ortognática. ¡Soluciona tus complejos mandibulares!
Hay personas que tienen problemas de mordida tan severos que no se pueden solucionar con ortodoncia. Si ese es tu caso, te informamos de que la solución es recurrir a la cirugía ortognática. Además estos problemas de mordida suelen parecer antiestéticos, de modo que mucha gente acude al cirujano para mejorar su mordida pero sobretodo para mejorar su aspecto.
A continuación, te detallamos cuales son los problemas que pueden corregirse con este tipo de cirugía. Si detectas que alguno de estos problemas coinciden con tus rasgos puede que necesites cirugía ortognática.
- Barbilla no proporcionada
- Mejillas hundidas
- Mandíbula en protuberancia
- Mordida abierta
- Asimetría entre el lado derecho y el izquierdo de la cara
- Excesiva altura facial superior
- Escasa altura facial inferior
¿Qué es la cirugía ortognática?
Consiste en la división y reposicionamiento de los huesos maxilares para lograr una alineación más adecuada. Suele emplearse para corregir problemas de mordida que no pueden solucionarse sólo con la ortodoncia. A menudo también implica la eliminación del hueso o tejido blando para mejorar la estética facial. La cirugía ortognática puede aportar cambios importantes a la estética de las personas, especialmente de su perfil.
¿Cómo se si debo recurrir a la cirugía ortognática?
Este tipo de cirugía es practicada por cirujanos orales y maxilofaciales y ofrece una mejora radical en la cara. Es la mejor opción si:
- Tienes problemas en los maxilares que deben tratarse quirúrgicamente.
- Estás convencido de que el problema le limita y le acompleja.
- Estás dispuesto a asumir las incomodidades de la recuperación.
- Puedes permitirte el coste de la intervención.

Si tienes alguna duda o consulta sobre la cirugía ortognática no dudes en contactarnos. Puedes encontrarnos en la calle Jaume Casanovas 45, El Prat de Llobregat. ¡Te estamos esperando!
¿Tienes fracturas en los dientes?
Son muchas las personas que se han fracturado un diente dándose un golpe, practicando deporte o incluso comiendo, ya que es muy común que los dientes se fracturen debido a la ingesta de frambuesas y otras frutas pequeñas con semillas o alimentos duros. Aunque sea un algo muy común, debemos vigilar y saber que existen diferentes tipos de fracturas y que, por lo tanto, no se deben tratar igual. De manera que, si tienes alguna fractura en los dientes, te aconsejamos que sigas leyendo para conocer de qué tipo de fractura se trata.
Cuando un diente se fractura, lo primero que hay que comprobar es si se ha producido daño en la pulpa dental, es decir en la porción vital del diente vivo. Sabemos si se ha producido dicho daño si la factura presenta sensibilidad, es dolorosa o produce incomodidad.
¿Qué tipos de fracturas existen?
- Fracturas menores: Estas suelen ser fácil de reparar. Una de las soluciones más fáciles es hacer un contorneado de dientes. También puedes optar por la adhesión dental para rellenar la fractura. En este tipo de fractura deben evitarse las coronas.
- Fracturas severas: Estas son las fracturas que normalmente son causadas por un accidente. El dentista puede optar por la adhesión dental en algunas piezas y colocar coronas en otras.
Si tu diente pierde color es signo de que la pulpa dental ha sufrido daño.En ese caso, se debe sustituir el nervio dañado y seguidamente colocar coronas. Si la pieza dental se te rompe por la línea gingival, el dentista deberá optar por cirugía estética. - Fracturas en coronas de porcelana: En caso de que la corona se fracture, la pérdida de porcelana en la línea gingival puede debilitar el resto de la restauración y provocar otros daños. En algunos casos se deberá sustituir la corona entera. Sin embargo, si el problema se detecta a tiempo podría repararse con porcelana astillada o adhiriendo resina compuesta sobre la zona.
- Fracturas verticales en la raíz: Estas fracturas son de las peores porque anulan totalmente la posibilidad de salvar la pieza dental. De manera que, la única solución es la extracción. Se deberá colocar un implante de forma inmediata.
Si tienes alguna duda o consulta sobre las fracturas en los dientes no dudes en contactarnos. Puedes encontrarnos en la calle Jaume Casanovas 45, El Prat de Llobregat. ¡Te estamos esperando!





